Chirurgien dentiste à Seltz
1 rue marcel bisch, 67470 Seltz
+33 3 88 86 58 66

Les prothèses - Page 5

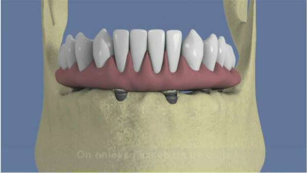
Mandibule complète et traitement implantaire pour un bridge fixe scellé

Mandibule complète et traitement implantaire pour un bridge fixe scellé

Maxillaire : bridge vissé sans fausse gencive

Maxillaire : bridge vissé sans fausse gencive

Maxillaire all-on-6 et comblement de sinus

Maxillaire all-on-6 et comblement de sinus

Maxillaire : all-on-4

Maxillaire : all-on-4

Comblement de sinus par voie latérale et implantation simultanée

Comblement de sinus par voie latérale et implantation simultanée

Mandibule complète et traitement implantaire pour un bridge fixe vissé

Mandibule complète et traitement implantaire pour un bridge fixe vissé

Affichage des articles 25-30 sur 60